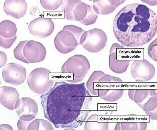
Leucémies (LLC, LMC …) avant, pendant et après le traitement 🍀

:point_down: :point_down:

image

Compléments

Vitamine B6 et surdose : Est-ce que ça peut arriver ?

31 déc. 2025
Par Louis Bertolini
6 Minutes

Ce qu’il faut retenir :

2 « J'aime »

SANTÉ

Les carences en fer sont plus courantes - et plus graves - qu’on ne le pensait

En France, le manque de fer atteint 20 à 30 % des enfants au cours des trois premières années de vie et 25 % des femmes non ménopausées souffrent d’une carence en fer, ce qui a un effet considérable sur la circulation de l’oxygène dans l’organisme.

DE TATYANA WOODALL
PUBLICATION 23 FÉVR. 2026, 14:46 CET

L’hémoglobine contenue dans les globules rouges, que l’on voit ici sur une micrographie colorée réalisée via un microscope électronique à balayage, leur permet de transporter l’oxygène et le dioxyde de carbone, un déchet cellulaire, entre les poumons et chaque cellule du corps. Le fer constitue un composant essentiel de l’hémoglobine et, lorsque son niveau est insuffisant, il est difficile pour l’organisme de répondre aux besoins en oxygène des cellules.

PHOTOGRAPHIE DE MICROGRAPH BY SUSUMU NISHINAGA, SCIENCE PHOTO LIBRARY

3 « J'aime »

Merci A.jacquel pour cet article concernant la B6 , sujet d’actualité dans un autre fil sur Ellye !

2 « J'aime »

Bonjour @AJacquel ,
Mon cas est similaire au vôtre mais un peu moins bien : MRD legerement positive et gamma a 4,5 … cette hypogamma globulenie est très frustrante
Bonne journée et encore merci pour vos informations toujours pertinentes :wink:

3 « J'aime »

image
L’expertise universitaire, l’exigence journalistique

Les fausses publications scientifiques menacent de submerger la recherche contre le cancer

Publié: 26 février 2026, 15:33 CET


La vague des fausses publications va-t-elle faire vaciller la recherche contre le cancer ? (La Grande Vague de Kanagawa (1831), d’Hokusai.)
Auteurs
d6ygn3af1h2uuxpo7deeqgt7nnnt

  • Baptiste Scancar
    Scientifique spécialisé en intégrité scientifique, Institut Agro Rennes-Angers; Université de Rennes
  • David Causeur
    Enseignant-chercheur, Institut Agro Rennes-Angers; Université de Rennes

Une étude récente pointe un chiffre alarmant : plus de 250 000 articles scientifiques liés au cancer pourraient avoir été fabriqués de toutes pièces entre 1999 et 2024. Cette production s’accélère et menace la production scientifique honnête.

1 « J'aime »

« Un cocktail de pesticides » : ce fruit très consommé par les seniors qu’il faut absolument peler

Par La rédaction Publié le 27/02/2026 à 07:15

En 2026, 85 % des pommes européennes contiennent un cocktail de pesticides, alors que ce fruit reste le chouchou des seniors. Pourquoi la peau devient‑elle un vrai sujet pour leurs reins fragilisés ?


Pour beaucoup de seniors français, croquer une pomme reste le petit rituel rassurant du goûter, associé à l’idée d’un fruit simple et sain. En 2026, ce geste anodin est pourtant bousculé par une série de données européennes montrant que la peau de la pomme concentre un cocktail de pesticides loin d’être négligeable.
En savoir plus :point_down: :point_down:

3 « J'aime »

AvZhjgEXxWVA

Infarctus, AVC : quels sont les signes qui doivent alerter ?

Publié le 23.02.2026
Damienne Gallion
Temps de lecture estimé 4 minute(s)


Capture d’écran 2026-03-01 à 11.11.31

SOMMAIRE

3 « J'aime »

AvZhjgEXxWVA

Mon espace santé : à quoi sert ce carnet de santé numérique et sécurisé ?

Publié le 17.04.2024 , actualisé par la rédaction le 20.02.2026
Peggy Cardin-Changizi
Temps de lecture estimé 5 minute(s)
image
Capture d’écran 2026-03-01 à 11.17.14

SOMMAIRE

3 « J'aime »

image

Elle peut être qualifiée de chronique car évolue pendant très longtemps, souvent sous plusieurs années de façon très indolente : la LLC ne peut donc être traitée qu’après plusieurs année d’évolution.

2 « J'aime »

image

QUESTION D’ACTU

Sécurité sociale

Hospitalisation : pourquoi cela va vous coûter plus cher ?

Les prix de plusieurs forfaits hospitaliers ont augmenté le 1er mars 2026.

Publié le 02.03.2026 à 14h55

Mots clés : forfait hospitalier / sécurité sociale / complémentaires santé

L’arrivée du mois de mars s’est accompagnée d’une hausse des prix de plusieurs forfaits à la charge des patients lors d’une hospitalisation ou d’un passage aux urgences. Les augmentations en place depuis le 1er mars ont pour objectif de faire économiser 400 millions d’euros à la Sécurité sociale en 2026.

L’ESSENTIEL

  • Les prix des forfaits hospitalisation et urgences ont augmenté.
  • La plupart des complémentaires santé prennent en charge ces forfaits.
  • 4 % des Français n’ont pas de complémentaire santé.
2 « J'aime »

image

QUESTION D’ACTU

Risque cardiaque

Cholestérol : ce que disent vraiment les études sur les œufs

Longtemps accusés d’augmenter le cholestérol et le risque cardiaque, la consommation d’œufs n’est pas associée à davantage de maladies cardiovasculaires, confirment des études.

Publié le 02.03.2026 à 12h55

Mots clés : cholestérol / oeuf / maladie cardiovasculaire

Les oeufs ont longtemps eu mauvaise réputation, accusés de favoriser le cholestérol. Une vaste revue scientifique, publiée dans le Journal of Poultry Science, estime aujourd’hui que l’alerte était sans doute excessive. En effet, pour la majorité des individus, une consommation modérée d’œufs n’augmente pas le risque de maladie cardiovasculaire et pourrait même offrir un léger effet protecteur.

L’ESSENTIEL

  • Une consommation modérée d’œufs n’augmente pas le risque de maladie cardiovasculaire, selon les études.
  • Les hausses de cholestérol observées sont modestes et compensées par le HDL, le bon cholestérol.
  • Avec une alimentation équilibrée, un œuf par jour ne semble pas accroître le risque cardiovasculaire.
2 « J'aime »

atypique
RÉVISION
13 décembre 2025
------------------------- classique ---------------------------- -------------------- atypique ----------------------
classique atypique

En ce qui me concerne, traitement obinutuzumab (GA101) et vénétoclax, «prise en charge d’une LLC atypique avec trisomie 12 et t(14 ;18), statut IgVH muté sans subset retrouvé, CD5+, CD10- avec un Matutes à 1-2, sans mutation TP53 ou ATM, avec des critères de traitement sur les signes généraux et la majoration de la lymphocytose.»
(CHU LILLE Service des Maladies du Sang, 22/11/2023)

L’IMPORTANCE DU LABORATOIRE…

L’hétérogénéité biologique de la LLC détermine la variabilité des manifestations cliniques mais aussi et surtout l’évolution et la résistance aux différents traitement

4 « J'aime »

Bonjour et merci pour toutes ces informations :rainbow::slightly_smiling_face:
.
Je n’ai jamais entendu parler de ce test. J’aimerais bien savoir si il se pratique aussi pour la maladie de Waldenström ?
Je ne sais pas comment aborder le sujet avec mon oncologue. Comment se pratique ce test ? Par bilan sanguin ? C’est l’oncologue qui le demande sans doute. Pouvez-vous m’en dire plus car j’aimerais pouvoir faire ce bilan. Merci d’avance.:star:

1 « J'aime »

Bonjour Erikarta

Lors de mon dernier rendez-vous au CHR de Lille on m’a fait sur place une prise de sang pour le test MRD. J’ai eu le résultat quelques jours après.

Par ailleurs on m’a remis une ordonnance pour une Electrophorèse des protéines sériques sans immunofixation” à faire en ville.

C’est dans le cadre du suivi de la rémission de ma LLC que j’ai eu ces deux analyses de sang

Dans le cas de la maladie de Waldenström ? Quel est le suivi. Je ne sais pas.

Bien cordialement

1 « J'aime »

image

Hématologie

Myélome en MRD négative soutenue après autogreffe : arrêt du lenalidomide en entretien

Il n’existe pas à ce jour de données prospectives concernant la possibilité d’arrêt du traitement d’entretien après autogreffe. Cette étude montre que l’arrêt du traitement d’entretien par lenalidomide chez des patients traités pour un myélome multiple en 1ère ligne, et ayant obtenu une MRD négative soutenue pendant 3 ans, s’accompagne d’un faible taux de progression du myélome.

-ACTUALITÉS-


27 Novembre 2025

Mots-clés : myélome multiple / Rémission / traitement d’entretien / arrêt de traitement

L’efficacité des traitements de 1ère ligne du myélome multiple (MM) des sujets éligibles à l’autogreffe de cellules souches s’améliore régulièrement, du fait notamment de combinaisons de molécules plus efficaces, et de traitements d’entretien post-autogreffe plus prolongés.

Cependant, la question de l’arrêt du traitement d’entretien par lenalidomide se pose régulièrement, en particulier avec l’arrivée progressive de techniques de mesures de la maladie résiduelle (MRD).

3 « J'aime »

image

La maladie résiduelle minimale (MRD) est un terme utilisé pour décrire le petit nombre de cellules cancéreuses qui restent dans le corps après un traitement contre le cancer.

MRD est utilisé pour surveiller les cancers du sang et du système immunitaire tels que la leucémie et lymphome.
:point_down: :point_down:
Qu’est-ce que la maladie résiduelle minimale ? – MyPathologyReport

3 « J'aime »

Ils ont plus de 80 ans… et une mémoire de 50 ans : des chercheurs ont découvert ce qui les rend si différents.

Tags associés :SANTÉ / CERVEAU / MÉMOIRE / VIEILLISSEMENT

image image

Article rédigé par Christelle Cherrier Rédactrice web
relu par Xavier Demeersman Rédacteur en chef

Publié le 3 mars 2026 à 14:45

Pourquoi certaines personnes de plus de 80 ans conservent-elles une mémoire aussi vive que celle d’un quinquagénaire ? Alors que le vieillissement s’accompagne généralement d’un ralentissement cognitif, quelques individus semblent défier les statistiques. Une nouvelle étude publiée le 25 février 2026 dans Nature fournit une analyse surprenante sur ces profils hors norme, appelés les « Super-âgés ».

6 « J'aime »

image

Le Chimérisme Génétique : Peut-on avoir deux ADN et faire un test ?

Imaginez un individu possédant non pas un, mais deux codes génétiques distincts. Bien que cela ressemble à de la science-fiction, c’est un phénomène biologique bien réel appelé le chimérisme .

Si cette particularité passe souvent inaperçue au quotidien, elle peut devenir un véritable casse-tête lors d’analyses biologiques. Comment ce phénomène survient-il ? Et surtout, le chimérisme peut-il fausser les résultats d’un test ADN de paternité ou de filiation ?

Cet article vous explique tout ce qu’il faut savoir pour aborder vos tests génétiques en toute sérénité, même dans les cas les plus complexes. :point_down:

Voir aussi. :point_down:

4 « J'aime »

image

Bientôt un test sanguin pour mesurer l’anxiété ?

Par Marie Briel
2 mars 2026 à 17h44


Un biomarqueur, c’est une caractéristique biologique mesurable : une molécule, une protéine, un gène, ou même un métabolite, dont la présence ou la quantité renseigne sur un état de santé. Le glucose pour le diabète, la troponine pour l’infarctus, le cholestérol pour le risque cardiovasculaire…

Mais en santé mentale, le terrain est plus glissant. Les émotions n’apparaissent pas sur un scanner. L’anxiété ne se détecte pas par un stéthoscope. Jusqu’ici, les chercheurs n’étaient jamais parvenus à stabiliser un indicateur biologique fiable d’un trouble anxieux. C’est ce qui rend cette récente découverte si notable puisqu’elle suggère que le trouble anxieux laisse bel et bien une empreinte mesurable dans le sang.

1 « J'aime »


Actualité / Santé

Un « lien direct » reconnu entre le travail et le cancer du sein d’une infirmière de nuit


20 Minutes avec AFP
Publié le 04/03/2026 à 18h21
Le tribunal administratif de Marseille a reconnu jeudi l’existence d’un « lien direct » entre le cancer du sein d’une infirmière et ses conditions de travail de nuit pendant près de 25 ans. Il a estimé que sa maladie était imputable à son service. Le tribunal a annulé la décision du directeur du centre hospitalier de Martigues qui avait rejeté en 2021 la demande de « reconnaissance d’imputabilité » formulée par l’infirmière. Elle s’était également vue refuser sa demande de reconnaissance de maladie professionnelle en 2019.

4 « J'aime »