Ma généraliste me dit qu’il n’a y plus rien à part morphine et je suis intolérante.
Désolé pour vous. Il y a peut-être des méthodes alternatives plus douce qui peuvent peut-être vous soulager. Je ne suis pas du tout spécialiste mais je pense que vous pourrez trouver des personnes intéressantes sur ce forum.
Bon
Rendez vous pour le tep scan lundi 30.
Ça ne traine pas .
L’ambulance est réservée car impossible de faire le trajet en voiture.
Mon hématologue me dit que les lésions ont l’air petites par rapport à un lymphome agressif mais elle préfère vérifier.
En attendant week-end cocooning car un peu frais et gris en Ile de France.
Bonne fin de journée
Bonjour,
Pour le nerf sciatique, est ce que vous avez essayé la kiné ? Ce n’est pas le plus agréable mais en quelque séances cela soulage un peu.
Il y a aussi l’acuponcture qui peut aussi avoir des effets remarquable, réduisant énormément la zone enflammée (effet kiss-cool si pas de chance: la zone et réduite mais est concentrée sur un point, ce qui n’est pas toujours mieux). Le souci est de ne pas tomber sur un charlatan et ce n’est pas forcément simple car ce sont des zones sensible.
Bon courage pour votre Tep scan en espérant que vos résultats soient bon
Bonjour Sylvie,
Je vois que nous fréquentons les mêmes hôpitaux, et que nous sommes voisins du même “TEP Scanner” ![]()
Pour ma part, j’ai été hospitalisé à Eaubonne lorsque mon généraliste a vu mon bilan sanguin, il m’a dit d’aller aux urgences, mais là-bas, j’ai mis une semaine pour me rendre compte qu’ils n’avaient même pas un hématologue dans cet hôpital. Du coup, ça a été compliqué car il me le cachaient, ils devaient en avoir honte, je sais pas, je l’ai découvert au fur et a mesure, ils me parlaient de Visio avec un hématologue d’Argenteuil, puis un jour il est venu me palper la rate, puis m’a annoncé le diag.
J’ai fait 3 scanners à Eaubonne (deux classiques et 1 TEP), et après je suis allé à Argenteuil pour la biopsie, puis j’étais sur le point de commencer une chimio (3 RCHOP + 3 RDHAOX sans autogreffe) à Argenteuil, mais la veille de la commencer, j’ai tout stoppé provisoirement pour avoir un second avis médical pour tenter la thérapie ciblée dans un autre hôpital.
Du coup, me voilà soigné à l’autre bout de la banlieue à Créteil, mais ce n’est pas si contraignant que cela, car je n’y vais plus qu’une fois par mois, et bientôt tous les 2 mois. Je ne regrette pas d’avoir fait ce choix, même si j’ai un peu hésité, le traitement étant encore en Phase 2 d’expérimentation.
J’avais comme vous une sacrée invasion de la moelle osseuse, il y en avait dans le bassin, dans les os des jambes, dans les côtes, partout, un vrai sapin de noël le résultat du TEP-Scan. En plus dans la rate, des ganglions et une tumeur de 5 cm. Un stade 4 mais sans la mutation TP53 et un ki-67 de 20% donc Lymphome du Manteau pas trop agressif.
5 mois après tout semble réglé, j’ai bientôt mon TEP Scan de contrôle. Mon hématologue est confiant, et moi j’ai confiance en lui, donc tout va bien
.
Votre prochain TEP-Scan de contrôle permettra de voir si ça fixe, comme ils disent dans leur jargon médical, c’est que des cellules cancéreuses sont de retour et vous aurez le droit à un nouveau traitement. C’est toujours angoissant, mais cela permet de progresser et d’avoir un traitement pour éradiquer à nouveau les cellules cancéreuses.
Restera à trouver un traitement pour la sciatique.
Courage pour lundi, et d’ici là, reposez vous bien.
Olivier
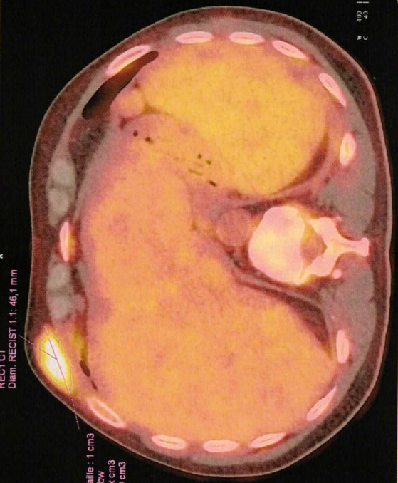
Voici quelques images du TEP Scan:
En Noir et Blanc, la vision de l’envahissement de la moelle par les lymphocytes B cancéreux :
Plus c’est jaune, plus il y a de cellules cancéreuses qui se régalent en consommant le sucre radio-actif, on voit cette boule jaune au dessus de côtes, mais j’en avais une bonne dizaine à l’intérieur du corps. C’était la zone la plus hyper-métabolique de mon TEP Scan, une boule de 5 cm indolore qui avait poussé en quelques semaines. Mais on voit qu’il y en a aussi dans la rate et le foie …
Olivier
Et voila ce que dit l’IA pour soigner la Sciatique :
La sciatique correspond à une douleur liée à l’irritation ou la compression du nerf sciatique (souvent à cause d’une hernie discale). Le traitement dépend surtout de l’intensité, de la cause, et de la durée des symptômes.
1. Les traitements de base (dans la majorité des cas)
Repos relatif (pas immobilisation totale)
- Éviter les mouvements qui déclenchent la douleur
- Mais continuer à bouger un minimum (marcher doucement)
Antalgiques
- Paracétamol en première intention
- Si insuffisant : anti-inflammatoires (ibuprofène, kétoprofène)
Décontractants musculaires
- Utiles si contracture associée
Chaleur
- Bouillotte ou douche chaude → relâche les muscles
2. Kinésithérapie (très important)
Exercices spécifiques :
- Étirements du nerf sciatique
- Renforcement du dos et des abdominaux
Techniques :
- Massages
- Mobilisation
- Parfois traction lombaire
C’est souvent le traitement le plus efficace à moyen terme
3. Activité physique adaptée
- Marche quotidienne
- Natation (idéal)
- Éviter : port de charges, torsions brusques
4. Si la douleur persiste ou est intense
Corticoïdes
- Par voie orale ou en infiltration (épidurale)
Traitements spécifiques de la douleur nerveuse
- Certains médicaments agissent directement sur la douleur nerveuse (ex : antiépileptiques à faible dose)
5. Chirurgie (cas rares)
Envisagée si :
- Douleur très intense résistante
- Paralysie ou perte de force
- Troubles urinaires (urgence)
Le plus souvent : retrait de la hernie discale
Signes d’alerte (consulter rapidement)
- Faiblesse dans la jambe
- Engourdissement important
- Difficulté à uriner ou incontinence
- Douleur insupportable
En résumé
Dans 80–90 % des cas, la sciatique guérit en quelques semaines avec :
- mouvement doux + kiné
- traitement antidouleur
Alors pour la petite histoire je n’ai pas spécialement choisi Argenteuil.
En octobre 2022 suite à mes plaintes de douleurs persistantes au dos et bassin mon généraliste ( un excellent médecin de famille à l’ancienne comme on nen fait plus et qui a pris une retraite bien méritée depuis) donc menvoie vers un rhumatogue qui consulte à la fois en ville et rattaché ou consultant ( je ne sais pas le terme exact) à l’hôpital d’Argenteuil .
Il me propose une hospitalisation de quelques jours au service rhumatologie d’Argenteuil.
S’ensuit une batterie d’examens dont le dernier le fameux tep scan à Eaubonne.
Enfin l’appel de l’hematologue le jour même pour un rendez vous 3 jours après pour m’annoncer: LNH à grandes cellules .
A l’époque je ne savais pas que c’était un stade 4 agressif.
S’ensuivent 6 séances de chimiothérapie tant bien que mal.
Remission complète annoncée en avril 2023.
Automne 2023 : douleurs persistantes epaule droite. Plusieurs examens à nouveau.
Résultat capsulite sévère donc infiltration en avril 2024 puis kiné.
Et là les douleurs bassin reviennent.
Irm en juillet 2024.
On me dit quil y a une anomalie mais partez en vacances tranquillement, ce nest rien , on fera un tep scan le 13 septembre .
Et bam rechute.
Mon hématologue référente ( dr R ) nous reçoit et nous dit: petite rechute.
Soit on fait une légère chimiothérapie avec le risque de nouvelle rechute dans 2 ans soit on frappe fort avec une auto greffe.
Ne sachant pas à quoi m’attendre et voulant mettre toutes les chances de mon côté je choisis l’autogreffe.
Mon hématologue pense que je ne vais pas supporter l’enfermement 1 mois en chambre protégée et je veux lui prouver le contraire.
Octobre à février je poursuis le protocole.
Je sors de l’hôpital le 14 février 2025 et entame une convalescence longue et épuisante mais le 2 mai ( en plein zona ) j’ai la joie d’apprendre rémission complète score de Deauville 1.
La suite arrive ( si ce nest pas trop indigeste)
La suite est rapide : octobre 2025.
Les douleurs légères type sciatique apparaissent.
Lors du rendez vous de contrôle le dr A me dit que cest dû à la fonte des muscles , perte de poids etc…
Le scanner de décembre est rassurant.
En janvier 2026 les douleurs empirent au retour de vacances.
Je réclame une IRM à mon médecin généraliste.
Examen que je passe à Herblay car trop d’attente à Argenteuil.
Je ne comprends pas trop les résultats mais ke radiologue de l’hôpital confirme : pas d’evolutivite des lésions.
Je retourne voir mon rhumatologue qui me prescrit cette fois une IRM avec injection.
Et là apres avis de la RCP mon hématologue menvoie passer un tep scan.
Mais je souffre de plus en plus.
Je nai pas de diagnostic précis.
Ma généraliste dit : sciatalgie mais doliprane inefficace.
Mon hématologue dit: douleurs neuropathiques mais lyrica inefficace
Mon rhumatologue dit : tendinite fessier.
Moi je pense un peu tout ça sauf si… le tep scan dit autre chose.
Dernière info: anti inflammatoire prescrit pour 5 jours ( de mercredi à dimanche) par ma généraliste mais inefficace la nuit…
Je craque un peu…
Mon ami chat gpt me conseille toutes les nuits d’aller aux urgences mais bof…
Bonjour @Konzenon
Merci pour votre avis.
Trop douloureuse pour commencer la kiné.
Pour l’acupuncture j’ai une amie acupunctrice que je consulte régulièrement.
Mais pour cette fois je voulais d’abord avoir un vrai diagnostic.
Bonjour,
Je sais qu’il existe diffèrent type de sciatique et ce qui me soulageait était le dos rond.
Si vous y arrivez, il y a quelques exercices qui peuvent peut-être vous soulager à la maison (ce que le kiné me donnait),
la position de l’enfant (je crois que ca se nomme comme ca) qui étire en douceur et qui est vraiment efficace. Le but est de se mettre sur le sol à genoux et d’aller avec les main chercher le plus loin possible.
Il y a aussi se mettre allongé (attention à ne pas creuser le dos) avec les jambes posées contre un mur, de façon à essayer de faire un angle droit mais je ne pense pas que votre état vous le permette pour le moment :s
Sur internet il y a plusieurs site qui expliquent plusieurs positions d’étirement/renforcement musculaire, mais peu sont réalisable lorsqu’on est vraiment coincé et douloureux
Bon courage dans cette épreuve qui met souvent le moral à rude épreuve
Merci
Cest vrai que la douleur tellement forte et presente empêche tout.
Jzi même appelé le 15 ce matin.
Difficile de tout expliquer au médecin régulateur.
Il ne comprend pas mes comptes rendus ni la localisation des douleurs.
Bref il me conseille Daffalgan codéine.
Je prends mon repas une douche et le comprimé.
Il faut sue je tienne jusqu’à lundi
Courage Sylvie. Il y a toujours les urgences de l’hôpital si vraiment ça n’allait pas
Je suis de tout cœur avec vous
Apparemment pour le 15 mon cas ne nécessite pas d’aller aux urgences. Et mauvais souvenir la dernière fois.
Car examens en cours, pas vraiment de diagnostic, ce qui étonne le médecin régulateur.
Je continue de chercher moi même dans la jungle d’internet.
Pas les scénarios catastrophe mais une explication à mes douleurs.
Douleurs neuropathiques, sciatalgie, piriforme enflammé, nevralgie pudendale…
Mon kiné lors du bilan avant de commencer les séances prescrites par un généraliste pour sciatalgie m’avait conseillé de faire un EMG mais mon médecin traitant n’a pas jugé nécessaire et m’a renvoyé vers mon hématologue.
En fait je rêve d’etre prise en charge globalement et pas courir apres les rendez vous des spécialistes avec des délais extrêmement longs ou bien des conseils d’anti douleurs divers et variés.
Franchement si je n’avais pas pris de moi même un rendez-vous avec mon rhumatologue je n’aurais même pas passé d’IRM puisque l’unité de douleurs ne me donnait ni diagnostic ni espoir à part reprendre un rendez-vous dans quelques mois.
Autant en hematologie jai été tres bien prise en charge pendant le traitement autant en médecine générale il faut aller à la pêche aux informations.
Avez vous tous ce ressenti ou bien suis je trop douillette ou exigeante ?
Il y a eu il une 2 semaines un séminaire organisé par Ellye sur les soins palliatifs : les douleurs sont très mal comprises dans nos pathologies donc très peu prises en compte et prises en charge, c’est un problème, car les neuropathies sont très souvent citées et personne ne sait vraiment d’où ça provient
Vous parliez de lésions sur l’IRM ? Vous savez si c’était lié à votre lymphome ou au traitement ?
Eh bien justement d’après mon hématologue les lésions sont petites par rapport à un lymphome agressif mais elle préfère vérifier si ca fixe au tep scan.
Ce sont ses propres mots.
Quant aux douleurs neuropathiques sue vous évoquez pour apparaissent elles plusieurs mois après la fin des traitement et pourquoi le lyrica prescrit n’est pas efficace ?
Désolée pour les fautes de frappe.
Bonjour Sylvie,
Après votre TEPSCAN lundi, votre hématologue saura apprecier si votre douleur peut provenir d’une reprise du lymphome (une grosseur tumorale qui appuierait sur un nerf). Si ce n’est pas le cas vous pourriez lui demander de vous faire admettre en médecine interne pour qu’on vous fasse tous les examens nécessaires. Comme le signale Mag nous ressentons les uns et les autres très souvent des douleurs neurologiques mal expliquées, longtemps après les traitements que ce soient les greffes de moelle ou les CAR-T cells, et les équipes n’ont pas encore de réponse adaptée.
Je vous envoie tous mes encouragements.
Yves


