J’ai aussi été très impressionné et intrigué par la présence de “sable” dans le dernier repas de l’homme de Tollund . Merci à Cathy3 pour ses recherches avec chatgpt.
Je continu ma veille internet mon sujet ce matin : Unilever !
J’ai aussi été très impressionné et intrigué par la présence de “sable” dans le dernier repas de l’homme de Tollund . Merci à Cathy3 pour ses recherches avec chatgpt.
Je continu ma veille internet mon sujet ce matin : Unilever !

Publié : 30 janvier 2024

Publié : 22 avril 2025
Bien que l’on sache que notre microbiome joue un rôle essentiel dans la santé de nos intestins et de notre peau, même nos maisons en possèdent un. Le nouveau produit, Cif Infinite Clean, exploite une technologie de pointe en matière de microbiome grâce à un mélange sur mesure de probiotiques naturels pour transformer le nettoyage de la maison.
Les probiotiques 100 % naturels utilisés dans la formule nettoyante restent dormants jusqu’à ce qu’ils rencontrent des surfaces sales où ils germent et se nourrissent de crasse, atteignant les zones difficiles à nettoyer pour un nettoyage en profondeur qui dure jusqu’à trois jours.
![]()
AFP •07/04/2026 à 16:55
Un intermédiaire et un important maraîcher, fournisseur de grandes marques de distribution, ont été condamnés mardi à Marseille à deux ans d’emprisonnement, assorti pour moitié d’un sursis simple, pour un trafic de pesticides importés d’Espagne ( AFP / CHARLY TRIBALLEAU )
information fournie par AFP •07/04/2026 à 16:55

Par Marie Briel
7 avril 2026 à 18h40

C’est la fin août et votre balcon fait franchement peine à voir… Deux solutions : investir dans de nouvelles plantes et/ou rebooster ce géranium à coup d’engrais ! Et bien pour la flore intestinale, c’est un peu pareil : lorsqu’elle va mal, on peut l’enrichir avec des probiotiques et/ou la stimuler avec des prébiotiques.

Notre tube digestif abrite pas moins de
micro-organismes, soit autant que le nombre de cellules qui constituent notre corps. Cet ensemble de bactéries, virus, parasites et champignons non pathogènes constitue notre microbiote intestinal (ou flore intestinale).
Son rôle est de mieux en mieux connu et les chercheurs tentent aujourd’hui de comprendre les liens entre ses déséquilibres et certaines pathologies, en particulier parmi les maladies auto-immunes et inflammatoires.
Un microbiote est l’ensemble des micro-organismes – bactéries, virus, parasites et champignons non pathogènes, dits commensaux – qui vivent dans un environnement spécifique. Dans l’organisme, il existe différents microbiotes : au niveau de la peau, de la bouche, du vagin, des poumons… Le microbiote intestinal est le plus « peuplé » d’entre eux, abritant
micro-organismes.

Le trouble du déficit de l’attention avec ou sans hyperactivité (TDAH) n’est pas une nouveauté, ni une conséquence de l’exposition des enfants aux écrans. Pour preuve, ce syndrome est décrit dans la littérature médicale depuis la fin du 18e siècle ! Et il ne s’agit pas non plus d’un problème d’éducation comme certains parents peuvent malheureusement se l’entendre dire : le TDAH est bel et bien un trouble du neurodéveloppement, associé à des petites différences dans la structure et le fonctionnement du cerveau des personnes concernées.
Le TDAH concerne : 5,9% des moins de 18 ans, 2,8% des adultes.
Il semble plus fréquent chez les garçons que chez les filles.
![]()
Publié le 20 janvier 2025
La résilience est la capacité d’une personne à surmonter les difficultés, à rebondir face aux épreuves et à se réadapter malgré les traumatismes ou les situations stressantes. Ce concept, issu de la psychologie, trouve ses racines dans l’étude de la résistance aux traumatismes. Popularisé par les travaux du neuropsychiatre Boris Cyrulnik, il repose sur l’idée que chacun peut, avec les bons outils et un environnement favorable, retrouver un équilibre psychologique après une crise.
La résilience s’appuie sur plusieurs facteurs, dont la flexibilité mentale, le soutien social, et les ressources personnelles comme l’estime de soi et la capacité à trouver du sens aux expériences vécues.


Inspiré de l’industrie, le jumeau numérique est un modèle dynamique d’un patient, d’un organe ou d’un processus physiologique, construit à partir de données médicales, biologiques, environnementales et comportementales. Contrairement à une image statique, il évolue en continu et permet de simuler l’évolution d’une pathologie ou l’effet potentiel d’un traitement.
Sa promesse ? Une médecine personnalisée et prédictive.

Jumeaux numériques en santé. Enjeux, définitions et problématiques éthiques
(pdf - 3.79 Mo)
Bonjour AJacquel
Merci d’évoquer Monsieur Cyrulnik …
« Les vilains petits canards » ou « les nourritures affectives » et tant d’autres ouvrages sont d’une qualité incomparable !
La résilience est parfois mise à toutes les sauces mais c’est lui qui l’a si bien décrit à partir de son expérience d’enfant de la guerre …mais surtout celles de psychothérapeute et d’ontologue!
Et « le murmure des fantômes » est particulièrement bienfaisant lorsque la vie laisse des plaies béantes !
Merci à vous encore et très bonne journée
Cordialement

Accueil / Boris Cyrulnik / Boris Cyrulnik explique le concept de résilience
Interrogé par Bernard Pivot, le psychiatre et éthologue Boris Cyrulnik définit brièvement le concept de résilience, avant de révèler ce qui l’a motivé à s’y intéresser : ses propres blessures d’enfance.

01 min 49 sec
Dossier : Boris Cyrulnik
Date de diffusion : 23 février 2001

16 janvier 2025
Peut-on savoir avec un scanner thoracique avec injection de produit de contraste, si une multiple formation ganglionnaire médiastinale infracentimétrique associée à une adénomégalie hilaire droite peut être malin ; est-il mentionné dans le compte-rendu qu’il y a une prise de contact avec le liquide car sur mon scanner, on ne mentionne pas, alors je ne sais pas quoi penser ? bénin ? malin ?
Bonjour
J’ai lu que les probiotiques etaient déconseillés quand on porte une chambre implantable. Avez-vous des informations à ce sujet ?
Merci
- Recherche avec GOOGLE
![]()
février 2018
…
Ce risque de fongémie est connu chez les patients porteurs d’un cathéter veineux central pour qui ULTRA-LEVURE est déjà contre-indiqué .

février 2018
Afin d’éviter toute contamination manuportée ou aéroportée par Saccharomyces boulardii, une attention particulière doit être portée lors de la manipulation des préparations orales d’Ultra-levure® en présence :
En nov. 2021

11/12/2023
3 commentaires
Encore en étude, on déconseille l’utilisation de probiotique/ultralevure pour les CIP ou encore les cathéter veineux centraux. Je pense que c’est à cause du risque d’infection du matériel médical par ces bactéries.
Donc, ai-je bien compris : c’est possible de prendre de l’ultra levure si le dispositif est “non actif”, si on est en remission ? Mais ne pas utiliser non plus la chambre implantable pour des transfusions ?

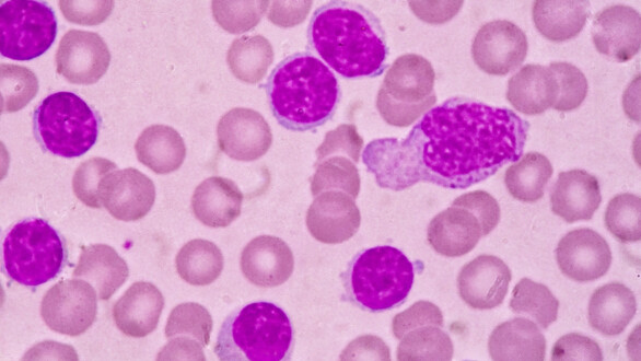
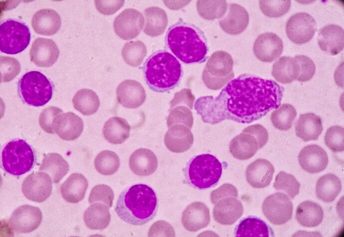
Leucémie lymphoïde chronique
Publié le 6 avril 2026
Par Dean Patterson

Depuis des années, le traitement de première ligne de la leucémie lymphoïde chronique (LLC) repose sur deux approches : poursuivre un traitement par inhibiteur de la tyrosine kinase de Bruton (BTK) jusqu’à progression de la maladie ou administrer un traitement à base de vénétoclax pendant une durée définie, puis l’interrompre. L’étude CLL17, étude de phase 3 menée par le Dr Othman Al-Sawaf , est l’une des premières à comparer ces deux stratégies.
(MISE À JOUR des liens, sujet édité en octobre 2024)

![]()

En ce qui me concerne, traitement obinutuzumab (GA101) et vénétoclax, «prise en charge d’une LLC atypique avec trisomie 12 et t(14 ;18), statut IgVH muté sans subset retrouvé, CD5+, CD10- avec un Matutes à 1-2, sans mutation TP53 ou ATM, avec des critères de traitement sur les signes généraux et la majoration de la lymphocytose.»
(CHU LILLE Service des Maladies du Sang, 22/11/2023)
![]()

Depuis juillet 2025, l’Union européenne discute d’un assouplissement de nombreuses réglementations, dont celle sur les cosmétiques. L’objectif est clairement affiché : réduire les coûts administratifs et les obligations de déclaration des entreprises européennes, pour une économie estimée à 37,5 milliards d’euros d’ici à 20301. Un véritable cadeau non dissimulé pour les industriels.
Mais derrière cet argument économique se cache une réalité plus préoccupante. Les substances visées par cet assouplissement dans les cosmétiques sont les substances CMR, c’est-à-dire cancérigènes, mutagènes et/ou reprotoxiques. Autrement dit, les substances les plus dangereuses susceptibles de se trouver dans nos produits du quotidien : crèmes, shampoings, dentifrices, maquillage, etc.